Miscelánea: tumores extra-axiales, malformación vascular, enfermedad desmielinizante e infecciosa.
Objetivos:
- Describir
brevemente cada patología.
- Conocer
el protocolo a seguir y aspectos importantes al momento del examen.
- Reconocer
características típicas de cada patología en imágenes (TC y/o RM).
Tumor extra-axial
•Son masas que se localizan por fuera del parénquima cerebral. Pueden tener su origen en la pía o duramadre y situarse en el territorio subdural, epidural o intraventricular.
• Generalmente
benignos
• Ubicación afecta a la planificación del tratamiento y su pronostico
• RM:
La mejor técnica para la evaluación de tumores extra-axiales: Diagnostico y ubicación
Meningioma
- Tumor vascular, no glial del SNC, derivado de
de tej. Meningotelial y células aracnoidales.
- Supratentorial
- Generalmente benigno,
crecimiento lento, con variantes malignos
- Tumor extra-axial mas
frecuente
- Tumor no-glial primario del SNC mas
común
Epidemiologia
- 14-20%
de las neoplasias intracraneales
- Relación intracraneal y columna
vertebral: 4: 1
- Común en adultos de mediana edad, poco común
en niños
- Mas común en mujeres
Signos y síntomas
Los signos y síntomas están relacionados con el tumor, ubicación y tamaño, , que a menudo son inespecíficos y vagos, a demas puede presentar hemorragia o quistes
•compresión
cerebral (estructuras cerebrales)
•edema
adyacente
•aumento
de la presión craneal (50% de los pacientes): náuseas, dolor de cabeza, vómitos
•Confusión,
debilidad focal y convulsiones
•paresia signo físico frecuente
•Dolor
de cabeza síntoma más común, que se encuentra en
26% de los pacientes
Diagnostico
•Clínica
•TC
•RM
•Biopsia
¿Que preguntar?
• Signos
y síntomas (Fiebre, cefalea, nauseas, alteraciones neurológicas)
• Temporalidad
de estos
• Antecedentes
de enfermedades previas
, trauma, AVE
• Cirugía previa
• medicamentos de uso frecuente, ACO, THR
• Exámenes anteriores, TC previa
• Exámenes anteriores, TC previa
Protocolo
TC: Cerebro ventana blanda, ventana osea y cerebro + MC Gd.
RM: Cerebro estándar + MC I.V Gd (si existe lesión) T1 axial / T1 3D mprage (3 planos)
Generalmente son tumores bien circunscritos globular o lobulado, periféricos de base dural, bordes lisos y bien definidos.
TC
• Sin
contraste: meningiomas aparecen como una masa unilobular, hiperdenso y homogéneo
• Calificación se ve en un 20-27% : microscópica, puntuada, grande, periférica o central
• Hiperostosis de la boveda craneal (50%) y destrucción osea (3%)
• MC: hiperdensa, bien circunscrita y generalmente con realce homogéneo.
RM
T1: isointenso o ligeramente hipointenso.
T2: varía, mayoria isointenso a ligeramente hiperintensa en comparación con
la materia gris.
T2*: Calcificaciones
![]() |
Martín Aguilar, Rosana Salvático: Signo de la hoja de malvón y meningiomas en Resonancia Magnética. Rev. argent. radiol. vol.76 no.1 |
Difusión/ ADC: subtipos atípicos y malignos pueden mostrar mayor grado de restricción a difusión
T1 + MC: mejoran rápida e intensamente, homogéneo
3D: Martín Aguilar, Rosana Salvático: Signo de la hoja de malvón y meningiomas en Resonancia Magnética. Rev. argent. radiol. vol.76 no.1
Espectroscopia: peak de alanina
Otros signos (no específicos):
Diagnostico diferencial
- Schwanoma
- Sarcodiosis
- Condrosarcoma
- Craneofaringeoma
- Macroadenoma
- Granuloma
- Condroma
Tratamiento
Dependerá de las molestias, del tamaño y del tipo de tumor:
- Control permanente
- Resección
- Radioterapia
Metástasis
- propagación de un foco canceroso primario
- distribución puede ser a la calota, dural, leptomeningea
- Tumores primarios mas comunes: Pulmón, mama, riñón, próstata
- segundo TU extra-axial mas frecuente
Importante: consultar con paciente si existe primario, si no es así buscarlo
Protocolo
TC: Cerebro ventana blanda, ventana osea y cerebro + MC Gd.
RM: Cerebro estándar + MC I.V Gd (si existe lesión) T1 axial / T1 3D mprage (3 planos)
Espectroscopia: aumento de colina intratumoral,disminución moderada o severa del NAA y de la Cr
¿Como reconocer en imágenes?
- Puede ser una lesión osteolitica u osteoblastica
- múltiples
- irregular
- Realza con MC
![]() |
| Osteolìtica Osteoblastica seram2008. |

RM
- Tiempos de relajación T2 prolongado: hiperintensa + fat sat
- T2/ FLAIR: hiperintensa, edema
- T1+ Gd: Realce generalmente en anillo, standar para Id, lesiones metastasicas
- Difusión: negativa, no restringe
- Metástasis de melanoma también hiperintensa debido a las propiedades paramagnéticas de melanina- T2/ FLAIR: hiperintensa, edema
- T1+ Gd: Realce generalmente en anillo, standar para Id, lesiones metastasicas
- Difusión: negativa, no restringe
![]() |
| M. de prostata M. de pulmon ( medscape.com) |
Malformaciones vasculares
Las malformaciones vasculares son ocasionadas por errores en el desarrollo embriológico de los vasos sanguíneos.
Cavernomas
Las malformaciones vasculares son ocasionadas por errores en el desarrollo embriológico de los vasos sanguíneos.
- MAV
- Cavernomas
- anomalía venosa del desarrollo
- Fistula arteriovenosa
- Hemangioma ( tumoral)
- otras..
Cavernomas
- Malformaciones vasculares benignas presentes entre el 0,1 y el 4% de la población general
- Son de bajo flujo solitarias o múltiples.
- Uva asociado a anomalia venosa del desarrollo
- Lóbulo más afectado es el frontal (24%), seguido por el temporal (16%) y el parietal (9%)
Complicaciones: van a depender de la ubicación
- Cuadros de epilepsia
- Sangramiento
Signos y síntomas
Van a depender de si existe alguna complicacion o no, sin embargo esta también puede presentarse asintomatica (hemorragias y cicatrización fibrosa, gliosis)
Protocolo:
TC
La capacidad de la tomografía computada (TC) de encéfalo y de la angiografía en el diagnóstico de lesiones no complicadas es escasa comparada con la de la RNM,
Sin contraste: puede mostrar un nódulo hiperdenso heterogeneo o calcificación, pero en el 50% de los casos Cavernomas estará oculta en la TC.
Medio de contraste: suele haber un leve aumento de densidad.
![]() |
| TC sin contraste TC con contraste (3) |
* Unidades HU en la imagen pueden ayudarnos a distinguir el contenido del área anormal
RM
Metodo mas sensible: características de las lesiones y su ubicación
Protocolo
estándar + SW1
MC Gd + T1 axial/ T1 3D / fat sat
T1: Loculos brillantes de metahemoglobina
T2: Apariencia de palomitas con el borde periférico de hemosiderina (no con hemorragia)
T2 *: Las lesiones son casi completamente hipointensas o puntuadas en el eco de gradiente, debido a los artefacto, efecto de suceptibilidad de la hemosiderina.(efecto paramagnetico)
SWI: aumentan notablemente la sensibilidad de la RM para detectar pequeños angiomas cavernosos, calcificaciones
FLAIR: edema perilesional leve (microhemorragia)
T1 + MC: leve mejora del contraste
![]() |
| radiology assistant: T2 y T2* |
![]() |
| Radiology assistant:: T1 T2 SW1
Asociado a anomalia venosa del desarrollo
Neurowikia. es patricia orellana: ERRORES NEURORRADIOLOGICOS
FRECUENTES EN TC Y RM. 2003 |
Tratamiento
Los cavernomas generalmente se controlan. El tratamiento, cuando es preciso, es quirúrgico. También puede ser necesario el tratamiento de sus manifestaciones clínicas, cuando las produzca, por ejemplo el uso de farmacos antiepilépticos.
Enfermedades desmielinizantes
Las enfermedades desmielinizantes del SNC tienen un amplio espectro de presentación, difieren en sus hallazgos patológicos, clínica, tiempo de evolución, gravedad y respuesta al tratamiento. La esclerosis múltiples la enfermedad desmielinizante más frecuente y estudiada del SNC
- Encefalomielitis diseminada aguda
- Esclerosis múltiple
- Leucoencepalopatias
- Panencefalitis esclerosante aguda
- otras...
Esclerosis múltiple
- Enfermedad
inflamatoria desmielinizante, crónica y progresiva que no tiene causa.
- Se presenta con desmielinización, inflamación, Pérdida axonal y gliosis
- Focos recurrentes: placas pueden repararse o reactivarse
- Predileccion por troncoencefálico,médula espinal y por la sustancia blanca periventricular cerebelosa.
- El principal diagnóstico diferencial de las lesiones de la sustancia blanca es la enfermedad vascular de pequeños vasos: ancianos
Epidemiología
- principal causa de discapacidad neurológica no
traumática entre los adultos jóvenes
- Mayor frecuencia en el sexo femenino (2:1)
- Peak de incidencia entre los 20-40 años
Factores de riesgo
• Infecciones virales
• Sexo femenino
• Poca exposición a luz solar
• Tabaquismo
• Vivir en latitudes altas
Signos y síntomas
Depende de área SNC lesionada, resolución y reaparición, no todos presentan los mismos sintomas
- Aleteracion sensibilidad: Parestesia
- Alteracion motora: Perdida fuerza, paresia
(parálisis), dismetría, ataxia
- Disfunción tronco cerebral:: Disartria, disfagia, Vértigo
- Alteraciones visuales: Neuritis optica
Clasificación:
•Primariamente progresiva
•Remitente-recurrente
•Remitente-recurrente
•Secundariamente progresiva
•Progresiva-recurrente
Diagnostico:
- Anamnesis, examen neurológico
- RM
- Laboratorio :Hemograma, bandas oligoclonales
Protocolo:
RM
• Diagnóstico precoz de la Esclerosis Múltiple
• Historia natural de la enfermedad
• Monitorizar la eficacia del tratamiento inmunomodulador
Criterios de diagnostico de McDonald
Protocolo: standar + FLAIR sagiral 3mm a cuerpo calloso / 3D FLAIR (3 planos)
Criterios de diagnostico de McDonald
* También puede ser necesario un estudio de columna o Fat sat orbita
*Importante: Considerar examenes anteriores
Protocolo: standar + FLAIR sagiral 3mm a cuerpo calloso / 3D FLAIR (3 planos)
- Placas focales de morfología nodular u ovoidea , tamaño puede variar desde pocos milímetros a más de un
centímetro de diámetro.
- Ubicación de
las lesiones: periventricular (sobre todo a posterior), cuerpo calloso, sustancia blanca yuxtacortical, parénquima infratentorial, médula espinal
Considerar: número de lesiones, distribución, tamaño, forma, atrofia cerebral asociada y realce con contraste
Sagital Flair fino 3mm: para observar degeneración del cuerpo calloso y sust blanca en su alrededor ( dedos de Dawson), lesiones de la interfase calloso-septal
T1 : Las lesiones son típicamente isointensas y hipointenso (crónica)
T2/ DP : Las lesiones son típicamente hiperintensa
FLAIR : Las lesiones son típicamente hiperintensa
T1 C + (Gd) : lesiones activas muestran realce, es a menudo incompleto alrededor de la periferia (signo del anillo abierto)
DWI / ADC : placas activas pueden mostrar difusión restringida
Espectroscopia por RM: puede reducir los peaks de NAA en placas y aumentar Cho
secuencia en 3D: permite una mejor detección de lesiones pequeñas y yuxtacorticales.
![]() |
| placas de EM tienden a afectar la sustancia blanca profunda, mientras que las lesiones de origen isquémico afectan más frecuentemente la sustancia blanca subcortical |
La mayoría de los pacientes presenta al menos una lesión periventricular de morfología ovoidea cuyo diámetro mayor es perpendicular a la superficie de los ventrículos laterales.
(morfología ovoidea debe ser analizada únicamente en el plano transversal)
![]() |
| Arriba: secuencias T1+ Gd: mayor realce |
Estudios longitudinales y transversales han demostrado que la formación de nuevas placas de EM realzan con contraste. mientras mas se espere, mas brilla
C Auger , R Mitjana, J Munuera, E Huerga, A Rovira RM CONVENCIONAL EN EL DIAGNÓSTICO DE LA ESCLEROSIS
MÚLTIPLE . SERAM 2010
| Osborn: Diagnostic Imaging brain, Pathology, and Anatomy |
Diagnostico diferencial:
leucaraiosis
Vasculitis
angiopatia amiloide
espacios perivasculares de virchow robin
restos de sangrado
Enfermedades desmielinizantes
patologia infecciosa
patologia infalmatoria
otras...
Bandas oligoclonales
Es un examen para buscar proteínas relacionadas con inflamación en el líquido cefalorraquídeo (LCR)
Técnica de electroforesis
Se realiza mediante una punción lumbar
ayudan a sustentar el diagnóstico de EM, pero no lo confirma
Se toma en cuenta la cantidad de Ig en el suero y LCR
Respuesta
humoral à sintetis intratecal IgG à contra prot de mielina
Normalmente, se debe encontrar una o ninguna banda en el LCR: 1
Se considera normal siempre y cuando la diferencia entre S/LCR sea menor a 2
Tratamiento: No se conoce cura para la esclerosis múltiple hasta el momento, pero existen tratamientos que pueden retardar el progreso de la enfermedad. El objetivo del tratamiento es controlar los síntomas y ayudar a mantener una calidad de vida normal.
Patología infecciosa
El cerebro y la médula espinal tienen una extraordinaria resistencia a las infecciones, pero cuando se infectan, las consecuencias son habitualmente muy graves
Revisaremos:
• Encefalitis
• Absceso
• Absceso
• Toxoplasmosis
• Criptococosis
Signos y síntomas
- Perdida de apetito
- Malestar general
- Fiebre alta
- Cefalea intensa
- Sensibilidad a la
luz, visión borrosa
- Náuseas y vómitos
- Rigidez de cuello o
nuca
- Confusión, demencia, irritabilidad
- Modorra, dificultad
para despertarse o pérdida de la conciencia
- Convulsiones
- Marcha
tambaleante
Diagnostico
• Clínica:
infecciosa y neurológica
• RM:
evolución y complicaciones
• Laboratorio: hemocultivos, detección Ac., hemograma y punción lumbar à LCR
• ECG
¿Que preguntar?
• Síntomas
• Desde cuando
• Desde cuando
•Fiebre
•Vacunas
recientemente
•Patología
base, trauma, herida
•fármacos
Protocolo
TC: con y sin contraste
RM: Cerebro estándar + MC I.V Gd (si existe lesión) T1 axial / T1 3D mprage (3 planos)
- Sec. MC y difusión son esenciales
- también se podría complementar con espectroscopia
Absceso cerebral:
| http://www.msdsalud.es |
- Un absceso cerebral es una colección de pus localizada en el cerebro.
- poco frecuentes
- Causas: propagación de infección de otra parte ( diente, nariz, oído), herida, o infección lejana propagada por la sangre
Diagnostico
Se presenta con anillo de tejido iso o hiperdenso, típica mente de espesor uniforme
baja atenuación central (fluido / pus) y baja densidad circundante (edema vasogénico)
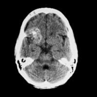
| Varón de 26 años con crisis epiléptica. TC: lesión hipodensa en ganglios basales con efecto masa sobre sistema ventricular en la imagen derecha, con contraste, lpresenta realce en anillo. Se solicita VIH que resulta positivo, por lo que se diagnostica de absceso por Toxoplasma. M. L. Parra Gordo, otros Guía rápida de diagnóstico de lesiones cerebrales en TC craneal de urgencias. Seram2012 |
![]() |
| http://www.neuroradiologycases.com/ |
Difusion: Positiva, restringe
![]() |
| RADIOPAEDIA.ORG |
Diagnostico diferencial
tumor
ictus
metastasis
linfoma
Encefalitis:
- Inflamación del parénquima
cerebral que se presenta con disfunción neuro-psicológica o focal.
- Generalmente es viral (origen
infeccioso) y se asocia a destrucción variable del parénquima.
- Niños y ancianos son mas
vulnerables
Causas:
virus Herpes simples
CMV
Sarampión
Papera
Rabia
Rubéola
Varicela
Otros
Causas:
virus Herpes simples
CMV
Sarampión
Papera
Rabia
Rubéola
Varicela
Otros
Diagnostico por imágenes:
realce cortical con escaso efecto de masa, por lo que siempre ante un realce cortical que no respeta un territorio vascular se debe plantear la posibilidad de una encefalitis
T1: puede mostrar edema general en la región afectada
T1 + Gd: Realce difuso
T2: hiperintensidad de la materia blanca y la corteza afectada
DWI / ADC: difusión restringida es común debido a edema citotóxico
GE / SWI: buena señal en caso de hemorragia, mas común en ancianos
![]() |
| radiopaedia.org |
Toxoplasmosis:
- Causado por protozoo Toxoplasma gondii
- Infección oportunista del SNC, más habitual en los pacientes con SIDA (50% -60%)
- Causante de encefalitis necrotizante multifocal con formación de abscesos, que afecta principalmente los núcleos básales y la sustancia blanca subcortical.
- Dg diferencial: linfoma
Signos y síntomas: inespecíficos
Diagnostico por imágenes:
- Lesiones
focales que miden entre 1 y 3 mm de diámetro, múltiples en el 85% de los casos.
- Efecto de masa
- Rodean de edema vasogénico en forma variable.
- compromiso de los ganglios básales (75- 88%) y de la región subcortical.
- Efecto de masa
- Rodean de edema vasogénico en forma variable.
- compromiso de los ganglios básales (75- 88%) y de la región subcortical.
RM
T1 - T2: iso e hiperintensas con realce en anillo.
T1 - T2: iso e hiperintensas con realce en anillo.
FLAIR: edema vasogenico
Difusión: bordes de alta intensidad y centro de baja intensidad de señal
Perfusion: Negativa
Espectroscopia: peak de lactato y lípidos
Difusión: bordes de alta intensidad y centro de baja intensidad de señal
Perfusion: Negativa
Espectroscopia: peak de lactato y lípidos
![]() |
| Fernando Antelo, y otros: Cerebral Toxoplasmosis1. Radiographics July-August 2009 |
Si bien las
lesiones de la toxoplasmosis suelen realzar con el medio de contraste, a veces
este realce es muy sutil o está ausente en pacientes con una severa depresión
de su inmunidad.
Del mismo modo se
han descrito presentaciones de linfoma sin relace y un punto importante a
considerar es el uso de corticoides, que pueden determinar ausencia de realce
de las lesiones al reponer la integridad de la barrera hematoencefálica.
Criptococosis:
- Enfermedad fungica oportunista: Cvriptococus noeformans
- se adquiere por
inhalación del hongo hasta el pulmón (asintomático) à cerebro à conglomerados
de criptococos à meningoencefalitis
- tercera infección más frecuente después de la Toxoplasmosis y el CMV.
- tercera infección más frecuente después de la Toxoplasmosis y el CMV.
- 7 % de los enfermos
con sida y suele evolucionar la muerte en corto plazo
- Puede generar meningitis
- Puede generar meningitis
Diagnostico por imágenes:
TC: inespecifico: hipodensas
RM:
- No presentan realce porque no producen alteraciones de la barrera hemato encefálica.
- Lesiones de pequeño tamaño
- Criptococo produce un material mucoide formando criptococomas en el espacio subaracnoideo y en los espacios perivasculares de Virchow Robin.
• T1: hipointensas, aunque se han descritos lesiones espontáneamente hiperintensas en secuencias T1, por un alto contenido proteináceo
• T2/ Flair: hiperintensas
• T1+ Gd: variable, realce nodular periférico
siguen la señal del LCR,
• T2/ Flair: hiperintensas
• T1+ Gd: variable, realce nodular periférico
siguen la señal del LCR,
Referencias:
(1) Antonios Drevelegas: Extra-axial bran tumors;Eur Radiol (2005) 15: 453–467
(2) Iván Leyva-Pére y otros: Meningiomas: apariencia por tomografía y por resonancia magnética. localizaciones más frecuentes. Anales de Radiología México 2013;1:36-44
(3) http://zl.elsevier.es/es/revista/radiologia-119/malformaciones-cavernosas-intracraneales-espectro-manifestaciones-neurorradiologicas-90156282-actualizaciones-2012
Carmen Cedeño Arias y otros: Cerebral Cryptococcosis. Working Experience. VIH/AIDS. Santiago De Cuba Province. 2001. anatorio Provincial del SIDA “El Caguayo”
Resonancia magnética en el diagnóstico de la esclerosis múltiple. Alex Rovira.2001.
http://www.radiologyassistant.nl/en/p4f53597deae16/role-of-mri-in-epilepsy.html#i4f535a7e3ffe1
(3) http://zl.elsevier.es/es/revista/radiologia-119/malformaciones-cavernosas-intracraneales-espectro-manifestaciones-neurorradiologicas-90156282-actualizaciones-2012
Carmen Cedeño Arias y otros: Cerebral Cryptococcosis. Working Experience. VIH/AIDS. Santiago De Cuba Province. 2001. anatorio Provincial del SIDA “El Caguayo”
Resonancia magnética en el diagnóstico de la esclerosis múltiple. Alex Rovira.2001.
Multiple Sclerosis. F. Barkhof, R. Smithuis, M. Hazewinkel.2013.
Medpuc.cl
http://www.neuromed.cl/mostrar_detalle.php?id=1
http://www.scielo.cl/scielo.php?pid=S0717-93082008000400004&script=sci_arttex
http://www.scielo.org.ar/scielo.php?pid=S1852-99922013000200006&script=sci_arttext
(4) http://www.scielo.cl/scielo.php?pid=S0717-93082008000400004&script=sci_arttext
http://www.iralabs.com/eDocs/EPUB0140.pdf
http://www.scielo.cl/scielo.php?pid=S0717-93082008000400004&script=sci_arttex
http://www.scielo.org.ar/scielo.php?pid=S1852-99922013000200006&script=sci_arttext
(4) http://www.scielo.cl/scielo.php?pid=S0717-93082008000400004&script=sci_arttext
http://www.iralabs.com/eDocs/EPUB0140.pdf
.










































No hay comentarios:
Publicar un comentario