Objetivos:
- Definir las principales indicaciones para los estudios imagenológicos de oído
- Preparación del paciente previa al examen.
- Detallar información relevante a recabar del paciente
- Protocolo de estudio.
- Principales patologías.
Principales indicaciones
- Síndrome vertiginosos (Vértigo postural paroxístico benigno)
- Estudio de patología congénita
- Hipoacusia
- Parálisis nervio facial/vestibular
- Colesteatoma
- Trauma
Preparacion del paciente
- Para estudios por TC primero que todo se deben realizar la encuesta pertinente para conocer antecedentes del paciente. Se debe dejar al paciente en una posición cómoda de manera que este no se mueva a lo largo del examen. Retirar artefactos metalicos como aros o pinches. En general el TC de oídos no lleva medio de contraste por lo que no es necesario la instalación de via venosa.
- Para RM primero que todo debemos considerar la bobina a utilizar, que será la bobina de cerebro. Se debe velar por la correcta posición del paciente para evitar movimiento. Debido a la bobina utilizada estilo bird cage se debe tranquilizar al paciente por posible sensación de ahogo o malestar (claustrofobia). Instalación de vía venosa para inyección de medio de contraste.
Protocolo de estudio
TAC
- Helicoidal 2x0,6mm
- Espesor corte: 0.8-1mm
- Cubrir peñasco en su totalidad
![]() |
| TC cerebro. TM José Antonio Alonso |
Post procesos
Oídos comparativos: 0,6mm cada 0,3mm, angulado a CSL
Coronales unilaterales: 0,6mm cada 0,3mm (FOV 90mm)
angulados a la porción descendente del nervio facial
![]() |
| TC cerebro. TM José Antonio Alonso |
Poschl : angulado a Canal Semicircular Superior, viéndolo idealmente en 1 corte. 1mm cada 1mm
Stenvers: Eje mayor del peñasco: ver cóclea completa en un
corte idealmente. 1mm cada 1mm
![]() |
| TC cerebro. TM José Antonio Alonso |
Uso de medio de contraste: en general TC de oído se realiza
sin contraste, excepto en los siguientes casos:
Petición medico tratante
Sospecha de swchannoma
Tinitus pulsátil
Dosis de MC: 50ml
En pacientes pediátricos: 1ml por Kg de peso
Resonancia magnética
- Axial FLAIR a todo el cerebro
- Axial T1 TSE fino
- Axial 3D T2 TSE fino
- Axial bFFE
- Coronal T2 TSE
Abarcar desde el vértice de la orbita hasta cubrir totalmente
la protuberancia. Angular en plano coronal a los conductos auditivos internos
(idealmente en una secuencia potenciada en T2)
Secuencias con contraste:
Axial y coronal T1 TSE fino
Sag 3D T1 a todo el cerebro
Patologia de oído
Para abordar las patologías que comprenden el oído, las dividiremos en 3
grandes áreas:
- Patología congénitas
- Patología tumoral
- Trauma
Patología congénita
- Agrandamiento acueducto vestibular: El acueducto vestibular corresponde a un canal que
conecta el saco endolinfático con el oído interno, dentro de este acueducto
discurre el ducto endolinfático. Esta patología genera una perdida progresiva
de la audición, y se asocia a una ausencia del modeolo óseo que normalmente se
encuentra limitando el acueducto vestibular.
-
Malformación de los canales semicirculares: cambios en la estructura normal de los canales semicirculares. El canal semicircular lateral es el mas afectado. Se presenta
debido a una alteración en el desarrollo del oído interno en la 6-8 semana de gestación.
- Dehiscencias: Falta de cobertura ósea en componentes del oído, presentándose principalmente en dos estructuras: parte mas alta del canal semicircular superior, generando síntomas como hipoacusia y vértigo y en el canal del nervio facial. Porción descendente del nervio facial, generando parálisis del nervio facial.
4. Otosclerosis u Otospongiosis: Es una enfermedad genética de tipo metabólica que afecta al
hueso del peñasco, la cual cursa con 2 etapas: resorción ósea y esclerosis.
Al afecta a la venta oval producirá una perdida progresiva de la audición. En general la clave diagnostica será la perdida progresiva de la audición en un paciente de entre 30 – 39 años.
Patología tumoral
Colesteatoma: Acumulo
anormal de epitelio escamoso queratinizado, el cual reemplaza a la mucosa
normal. La mayoría se considera como adquirido, aunque en ocasiones se presenta
como una anomalía congénita.
Se ubicada en el espacio de Prusak y produce erosión ósea en el scutum y de la pared del canal semicircular lateral.
Se ubicada en el espacio de Prusak y produce erosión ósea en el scutum y de la pared del canal semicircular lateral.
En caso de
estudio de colesteatoma post operatorio la RM cumple una función relevante para
lograr diferenciar una recidiva de colesteatoma respecto a tejido granulatorio.
Para esto se utiliza medio de contraste donde el colesteatoma no captara
contraste, mientras el tejido granulatorio captara contraste tardíamente (45
minutos – 1 hora). Otro método útil es utilizar secuencias de Difusión, donde
el colesteatoma brillara (restringe la difusión).
Otitis media crónica: Genera ocupación del
espacio de prusak, con apariencia similar (densidad) al colesteatoma. Lo que
permite diferenciarlos es que en la otitis media crónica no se genera erosiono
sea, lo que permite en primera instancia realizar el diagnostico diferencial. Puede presentarse además engrosamiento del
timpano.
Tanto el colesteatoma como la otitis media crónica, se asocian
a pacientes que presentan una neumatizacion baja de las celdillas mastoideas.
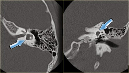
Glomus timpánico: Neoplasia de lento
crecimiento, la que produce erosión del hueso aledaño. Crece a partir de células ubicadas a lo largo del
nervio timpánico y esta asociado a
tinitus pulsátil y perdida progresiva de la audición
Trauma
Dentro de la patología traumática de oído debemos considerar
dos cosas importantes: las fracturas y las luxaciones de la cadena de
huesecillos.
en estudios de oido post trauma, se deben buscar los siguientes signos que pueden indicar lesión:
en estudios de oido post trauma, se deben buscar los siguientes signos que pueden indicar lesión:
- Los bordes del peñasco: en busca de perdida de continuidad.
- Origen de los rasgos de fractura: occipital o temporal.
- El recorrido completo del nervio facial: sobre todo si no se ha demostrado fractura.
- La cadena de huesecillos: revisar su integridad.
- Opacificación de celdillas mastoideas: orienta hacia la existencia de fracturas.
- Aire en lugares no habituales: sobre todo en las vecindades del peñasco, por ejemplo, aire en la articulación temporo madibular es un signo muy sugerente de fractura
Las lesiones del odio en un trauma se pueden presentar con
sangrado, parálisis aguda del nervio facial o perdida de la audición. Esto síntomas
dominar en la etapa mas temprana luego del evento traumatico
![]() |
| Fractura longitudinal (flecha amarilla), Luxación del yunque con luxación de la articulación incudo-maleolar y incudo estapedial |
Tinitus pulsatil
Percepción de una
sensación de sonido, generalmente de timbre, en ausencia de un estimulo
auditivo.
Es un signo secundario
a la presencia de una anomalía vascular o tumoral que afecta al oído.
Existe también el tinitus no pulsátil el cual se debe a causas fisiológicas o uso de medicamentos y no necesita estudio imagenologico.
Existe también el tinitus no pulsátil el cual se debe a causas fisiológicas o uso de medicamentos y no necesita estudio imagenologico.
http://www.radiologyassistant.nl/en/p49c62abe0880e/temporal-bone-pathology.html
Rev. chil. radiol. v.8 n.4 Santiago 2002
http://www.ajnr.org/site/imgquiz/04152013qz.xhtml
http://www.nlm.nih.gov/medlineplus/spanish/ency/article/001036.htm






















No hay comentarios:
Publicar un comentario